-
早期乳腺癌:無需手術 射頻消融治療成為微創新療法,已納入日本醫保
2023年12月,日本國立癌癥研究中心宣布使用射頻消融(RFA)治療早期乳腺癌已納入日本國民醫保。采用射頻消融技術... -
日本如何看待局部晚期胃癌的新輔助化療(NAC)《二》
第 77 屆日本胃腸外科學會共識會議上愛知縣癌癥中心藥物治療科的Kei Muro博士以《dMMR MSI-H 胃癌圍手術... -
《新英格蘭醫學雜志》(NEJM)尿路上皮癌:ADC+免疫藥物聯合或可延長生存期
2024年3月7日,發表在《新英格蘭醫學雜志》(NEJM)的一項3期試驗表明:在局部晚期 轉移性尿路上皮癌患者的一線... -
JSMO2024 日本臨床腫瘤學會 終末期癌癥治療真的有必要輸液嗎?
癌癥患者,尤其是終末期癌癥患者的最適當的輸液量是多少?在第21屆日本臨床腫瘤學會年會(JSMO2024)舉辦的題目為... -
非小細胞肺癌:到底該術前還是術后進行輔助治療?
在2023年度歐洲臨床腫瘤學會(ESMO Congress 2023)的一次特別會議上,專家們提出了一個問題:可切除的非小細... -
日本如何看待局部晚期胃癌的新輔助化療(NAC)
新輔助化療,也稱術前化療。顧名思義,就是在實施局部治療方法(手術或放療)前先進行全身化療,英文縮寫NAC。*以... -
利用AI預測早期結直腸癌淋巴結轉移 可減少超三分之一的過度治療!
早期結直腸癌內鏡切除后是否行追加手術切除是根據現行指南確定的。而接受追加治療病例的淋巴結轉移(LMN)率并不... -
JSMO2024日本臨床腫瘤協會力爭實現結直腸癌ICI聯合治療!
截至目前,只有2%的結直腸癌患者會從免疫檢查點抑制劑(ICI)中受益。醫學界正在開發治療方法試圖來改變這一狀況... -
JSMO2024日本臨床腫瘤協會公布新ADC藥物(I-DXd/DS-7300)實體腫瘤的治療數據
針對于既往接受過治療的晚期或轉移性實體瘤患者,一款靶向B7-H3的新ADC藥物ifinatamab deruxtecan(簡稱I-DXd... -
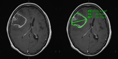
日本國立癌癥研究中心聯手日本富士膠片開發AI技術以提高神經膠質瘤圖像評估的準確性
概述日本國立癌癥研究中心和日本富士膠片株式會社已經共同開發了從MRI圖像中精確提取神經膠質瘤數據的人工智能... -
日本安斯泰來公布女性更年期新藥試驗數據
潮熱是更年期癥狀之一,會降低生活質量。到目前為止,藥物治療主要集中在激素替代療法(HRT)和中藥,但現在新藥... -
日本設立IgG4相關疾病中心并開始新藥試驗
IgG4相關疾病是一種原因不明,與免疫球蛋白G(IgG)的抗體成分之一IgG4相關的全身性疾病。該病會導致全身各個器... -
全球每12人中有1人罹患消化道腫瘤,每16個人中有1人死于消化道腫瘤
消化系統癌癥占全球癌癥病例的四分之一,癌癥相關死亡的三分之一。中國醫學科學院 北京協和醫學院的Shaoming... -
開玩笑? “瘦臉針”還能治療膀胱過度活動癥?
美容抗皺的瘦臉針可以治療泌尿系統疾病?沒錯,沒有聽錯!就是很多女明星用來除皺、瘦臉的那個瘦臉針。瘦臉針的... -
新型腸癌篩查檢測登場:多靶點糞便RNA檢測優于傳統便潛血檢測
全球常見癌癥死亡原因中,結直腸癌是僅次于肺癌升至第二,全世界都在積極開展早期篩查。通常,免疫糞便潛血試驗... -
淺談乳腺癌的不同類型及其治療策略《二》
相關閱讀:圣路加國際病院 http: www morimt net hosp 2105 html昭和大學病院 http: www mori... -
淺談乳腺癌的不同類型及其治療策略《一》
乳腺癌根據癌細胞的性質不同分五種亞型。乳腺癌的藥物治療需要針對每種亞型選擇不同的治療方法。而且,手術前... -
日本名古屋大學證實茄子蒂具有抗癌(宮頸癌)功效
日本東海國立大學組織-名古屋大學醫學研究院婦產科的研究小組報告說,茄子蒂中的一種天然化合物9-oxo-octadeca... -
為什么有些人喝紅酒會頭痛
每逢節日,無數的軟木塞被打開,人們會和很多的紅酒。但對一些人來說,即使是喝一點點也可能是毀滅性的。這些... -
日本乳腺癌篩查新利器:乳腺專用PET
有做過體檢或乳腺專項檢查的女性朋友們知道,乳腺的檢查主要依靠B超、核磁、CT、鉬靶等檢測項目。每種檢查方式...
