-
日本乳腺癌的三維治療策略
乳腺癌發生率在亞洲女性癌癥中排名第一,日本就醫網的醫學小編給大家介紹下日本的治療經驗,希望患者能從一開... -
SABCS乳腺癌治療新研究、新動向,一定不要錯過!
2019年國際乳腺癌重量級學術活動的收官之作——第42屆圣安東尼奧乳腺癌研討會(SABCS)于12月10日-14日在美國盛... -
ASCO2019報道:聯合margetuximab和化療可改善HER2陽性晚期乳腺癌的總生存期
加利福尼亞大學舊金山分校的Helen Diller Family Comprehensive Cancer Center公布了一項抗HER2陽性抗體... -
Luminal B型乳腺癌術前使用瑞博西尼+來曲唑方案與化療效果相同
12月中旬在美國舉行的乳腺癌研討會SABCS2019上,西班牙專家Joaquin Gavila公布了試驗結果,SOLTI-1402 C... -
SABCS2019報道——HER2陽性晚期乳腺癌的新TKI藥物
近日在美國圣安東尼奧舉行的圣安東尼奧乳腺癌研討會(SABCS2019)上,美國MD安德森癌癥中心的Rashmi Murthy公布... -
新靶向藥物CDK4/6抑制劑和PARP抑制劑使激素受體陽性乳腺癌的治療更為高效
2019年7月于東京舉行的日本乳腺癌學會第27屆年會上,日本國立癌癥中心東病院的腫瘤學及乳腺專科的內藤洋教授做... -
細胞毒性T細胞能否成為長壽的關鍵
日本理研綜合醫學中心(IMS)和慶應義塾大學醫學院的科學家使用單細胞RNA分析后發現超百歲老人(即110歲以上的人)... -
通過阻斷MR1的癌癥免疫治療
研究人員發現了潛在的癌癥免疫療法新靶標,其中涉及關閉調節細胞以阻止腫瘤的生長和擴散,該研究結果已于美國... -
癌癥惡病質的治療-藥物治療取得良好效果
日本國立癌癥中心東病院肝膽胰內科主任三永修一博士_ 癌癥惡液質的發病機制_ 明確惡液質的診斷標準_ 藥物療... -
海外醫訊 | 新藥圖卡替尼給晚期乳腺癌患者帶來希望
2019年12月11日在圣安東尼奧乳腺癌專題討論會和《新英格蘭醫學雜志》上披露,在患有侵略性乳腺癌的女性中使用... -
關于酒精和癌癥,您可能不知道的10件事
我們經常被問到有關酒精和癌癥的一些常見問題,讓我們從酒精的常識,到民間流行的關于癌癥治療的各種傳聞,來... -
2019,基因治療實現突破的一年
維多利亞·格雷(VictoriaGray)的血被抽出,以便醫生可以找到導致她患病的原因:骨髓中的干細胞正在制造變形的... -
海外醫訊 | 美國醫師協會(ACP)發布大腸癌篩查指南
美國醫師學會(ACP)2019年11月發表于內科學年鑒的一項新的循證指南聲明中指出,內科醫師應篩查50歲至75歲之間沒... -
好萊塢明星成“腸鏡代言人” ,但沒想到,首次檢查就發現癌前病變......
一定要確保我們健康 威爾·史密斯(Will Smith)分享了結腸鏡檢查和17分鐘視頻威爾·史密斯(WillSmith)向世... -
凱斯西儲大學:使用人工智能確定免疫療法是否有效
圖片來源:凱斯西儲大學免疫檢查點抑制劑治療前后的CT放射線模式差異的說明,同樣發現在診斷活檢中,在無反應... -
麻省理工學院:識別引發某些過敏或感染的T細胞
麻省理工學院的研究人員開發了一種分離與不同靶標結合的T細胞,并對其RNA進行測序的方法。當您的免疫系統接觸... -
基因編輯的T細胞如何對抗癌癥
偽彩色掃描電子顯微照片顯示兩個T細胞(紅色)攻擊癌細胞(白色)。研究人員正在通過編輯T細胞內的基因來創造更強... -
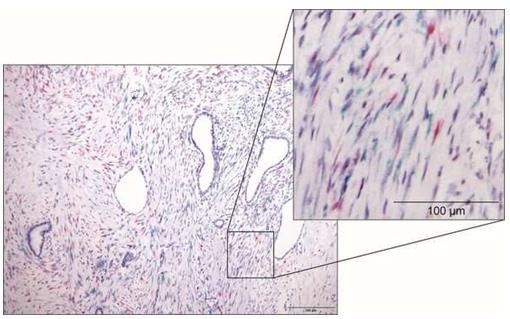
名古屋大學:已經確定胰腺癌中存在抑制癌細胞的細胞
原位雜交數據顯示人胰腺癌中Meflin陽性成纖維細胞(品紅色)和-陰性成纖維細胞(綠色)的浸潤。來源:水谷靖行名古... -
美國心臟學會:心臟疾病或與癌癥密切相關
麻省總醫院的研究人員將會在2019年美國心臟協會會議上,報告其最新研究成果,心臟病幸存者罹患癌癥的風險與未... -
對免疫療法有反應的侵襲性乳腺癌
UNC Lineberger的Charles M Perou博士北卡羅萊納州大學(UNC)Lineberger大學綜合癌癥中心的研究人員發現了...
